ما هي عملية قسطرة القلب؟

عملية قسطرة القلب هي تدخل طبي للكشف عن وجود انسداد في الشريان التاجي في القلب. قد يعتقد طبيب القلب المعالج أن هناك خطر للإصابة بأزمة قلبية أو جلطة في القلب في حالة المعاناة من ذبحة صدرية غير مستقرة أو ألم غير معتاد في الصدر أو ضيق في الشريان الأورطي أو فشل غير مبرر في القلب.

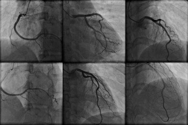
أثناء عملية قسطرة القلب سوف يتم حقن صبغة ملونة الى داخل الشرايين من خلال قسطرة (أنبوبة بلاستيكية رقيقة) بينما يقوم طبيب القلب المعالج بمتابعة تدفق الدم عبر القلب على شاشة جهاز أشعة إكس.

احسن-دكتور-عمليات-قسطرة-قلب-د-عمر-الطحان

كيفية التحضير لعملية قسطرة القلب؟

يجب التوقف عن تناول الطعام والشراب قبل العملية بفترة لا تقل عن ثمانية ساعات. يجب الاتفاق مع أحد الأصدقاء أو أفراد العائلة للبقاء معك بعد العملية واصطحابك للمنزل بعد عملية قسطرة القلب نظرا لأنه غالبا ما سوف تكون مصابا ببعض الدوخة والدوار في الأربعة وعشرين ساعة الأولى بعد عملية قسطرة القلب.

في العديد من الحالات سيكون منك تسجيل الدخول الى المستشفى في صباح يوم العملية وعادة ما سوف تكون قادرا على تسجيل الخروج والمغادرة من المستشفى في مساء نفس يوم عملية قسطرة القلب.

في المستشفى سوف تقوم بارتداء الزي الطبي الخاص بالعمليات ثم التوقيع على إقرار الموافقة على القيام بعملية قسطرة القلب. سوف يبدأ الطاقم الطبي المرافق لطبيب القلب المعالج بقياس ضغط الدم وتركيب كانيولا في أحد أوردة الجسم وقياس مستوى السكر في الدم في حالة الإصابة بمرض السكر. عادة ما يتم القيام بتحليل دم كامل أيضا والقيام بإجراء رسم القلب الكهربائي كذلك.

قم بإخبار طبيب القلب المعالج في حالة المعاناة من حساسية ضد المأكولات البحرية أو في حالة حدوث رد فعل سيء ضد الصبغة الملونة سابقا أو في حالة تناول بعض الأدوية المنشطة جنسيا أو في حالة احتمالية وجود حمل.

قسطرة-القلب-والدعامات

كيفية إجراء عملية قسطرة القلب

 سوف تكون مستيقظا أثناء إجراء قسطرة القلب.

التخدير في عملية القسطرة يكون موضعي.

سوف يقوم طبيب القلب المعالج بتنظيف وتخدير منطقة أصل الفخذ أو الذراع بواسطة البنج. قد يكون هناك إحساس ببعض الضغط الخفيف نتيجة إدخال ما يشبه الجيب في أحد الشرايين. سوف يتم توجيه القسطرة (أنبوبة رقيقة) بلطف الى أعلى وحتى الوصول الى أحد شرايين القلب. سوف يقوم طبيب القلب المعالج بمراقبة والاشراف على العملية بشكل كامل من خلال شاشة عرض أمامه.

ليس من المعتاد أن يحس الشخص بحركة القسطرة داخل الأوعية الدموية.

الإحساس أثناء عملية قسطرة القلب

قد يكون هناك إحساس بحرقان بسيط بعد الحقن بالصبغة الملونة في الشريان.

بعد عملية قسطرة القلب سوف يتم وضع ضغط على المنطقة التي تم إزالة القسطرة منها للوقاية من حدوث نزيف. في حالة وضع القسطرة في منطقة أصل الفخذ قد يتم النصح بالاستلقاء بشكل مستقيم على الظهر لبضعة ساعات بعد عملية قسطرة القلب للوقاية من حدوث النزيف. ذلك قد يكون سببا في حدوث انزعاج وضيق بسيط في الظهر.

قم بشرب الكثير من الماء بعد عملية قسطرة القلب لمساعدة الكليتين على التخلص من الصبغة الملونة التي تم حقنها.

فهم النتائج المتوقعة من عملية قسطرة القلب

النتائج سوف تظهر إن كان تدفق الدم الى ومن القلب يسير بشكل طبيعي أو إن كان هناك أي انسدادات. النتائج الغير طبيعية تعني وجود انسداد في شريان أو أكثر. في حالة وجود انسداد في أحد الشرايين قد يقوم طبيب القلب المعالج باللجوء لقسطرة علاجية أثناء عملية القسطرة التشخيصية ومن الممكن أن يقوم بتثبيت دعامة شريانية لتحسين تدفق الدم بشكل فوري.

دكتور-عملية-قسطرة-قلب

المخاطر المصاحبة لعملية قسطرة القلب

عملية قسطرة القلب هي عملية أمنة للغاية عند إجرائها بواسطة طبيب قلب ذو خبرة كبيرة لكن هناك بعض المخاطر بنسبة (1%) ومنها:

  • النزيف أو الكدمات.
  • الجلطات الدموية.
  • حدوث إصابة في أحد الشرايين أو الأوردة.
  • فرصة ضئيلة لحدوث سكتة دماغية.
  • فرصة ضئيلة للغاية لحدوث أزمة قلبية أو جلطة في القلب أو الحاجة لجراحة تحويل مسار.
  • انخفاض أو هبوط ضغط الدم.
  • حساسية من الصبغة.

التعافي والمتابعة بعد عملية قسطرة القلب

  • استرخي وقم بشرب الكثير من المياه. توقف عن التدخين أو شرب الكحوليات.
  • يتم إزالة الضمادة بعد أربعة وعشرين ساعة. في حالة وجود بعض الرشح البسيط قم بوضع ضمادة أخرى لنحو اثني عشر ساعة أخرى.
  • الامتناع عن أية أنشطة تتطلب مجهودا عنيف أو ممارسة الجنس لمدة يومين على الأقل بعد عملية قسطرة القلب.
  • يجب عدم غمر الجسم في الماء الساخن أو نزول حمامات السباحة لمدة ثلاثة أيام على الأقل بعد عملية قسطرة القلب. يمكن فقط أخذ دش سريع.
  • يجب عدم وضع المرطبات بالقرب من مكان دخول القسطرة لمدة ثلاثة أيام على الأقل.
  • سوف يكون المريض بحاجة لمقابلة طبيب القلب بعد موعد إجراء عملية قسطرة القلب بأسبوع.